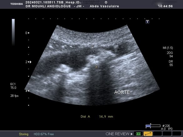
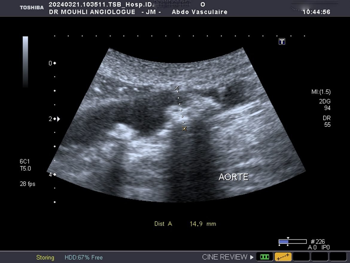
Appareil circulatoire pathologieArtère pathologieAthéroscléroseCentre d’apprentissageChirurgieechodopplerTraitementVaisseau sanguin pathologie L’aorte : La plus grande artère du corps et les dangers de l’athérosclérose by jamel MOUHLI 11 juillet 2024 written by jamel MOUHLI 11 juillet 2024 0 comments 22 minutes read Bookmark 496 L’aorte est la plus grosse artère du corps. Partant du cœur, elle achemine le sang vers les jambes en passant par le thorax et l’abdomen. Elle décrit d’abord un trajet ascendant puis effectue un virage (crosse) où naissent les artères à destination des bras et du cerveau. Elle descend ensuite dans le thorax en vascularisant la moelle épinière. Une fois au niveau du diaphragme, elle devient l’aorte abdominale où le sang est distribué dans les artères du tube digestif (tronc cœliaque donnant les artères hépatique et splénique, artère mésentérique supérieure, artère mésentérique inférieure) et des reins. Les thromboses aortiques sont le plus souvent liées à la présence de lésions athéromateuses au sein de la paroi aortique chez des patients avec des facteurs de risques cardio-vasculaires. De rares cas surviennent sur artère saine et sont alors considérés comme « isolés ». L’athérosclérose est responsable de nombreuses maladies cardio-vasculaires qui représentent la première cause de mortalité dans le monde. QU’EST-CE QUE L’ATHÉROSCLÉROSE ? L’Athérosclérose ou artériosclérose correspond à un dépôt de graisses formant une plaque d’athérome qui rétrécit le passage du sang. QUELLES SONT LES CONSÉQUENCES DE L’ATHÉROSCLÉROSE ? Les conséquences de la plaque d’athérome sont multiples dont la rupture à l’origine d’accident vasculaire grave. L’athérosclérose peut toucher différents organes. Un rétrécissement d’aorte Un rétrécissement des artères carotides peut entraîner un accident vasculaire cérébral. En cas d’atteinte des artères des jambes, on parlera d’artériopathie oblitérante ou artérite des membres inférieurs. L’atteinte des artères coronaires peut entraîner des infarctus du myocarde. Le mode de révélation clinique de la thrombose Claudication fessiére ;pieds froids et absence de pouls périphérique Il s’agit du cas typique d’une patiente présentant une sténose de l’aorte abdominale sous-rénale (sténose de l’aorte basse) à extension iliaque, découverte à l’occasion de la persistance de douleurs dorsales à irradiation fessière. une ischémie aiguë de membre dans 8 cas sur 10. écho-Doppler artériel THROMBOSE AORTE SOUS RENALE SUR ANEVRISME THROMBOSEE AORTE NORMALE un scanner thoraco-abdominal injecté, Les cas survenant sur artère saine sont difficiles à dénombrer et le terme de thrombus « isolé » est peut-être employé par défaut. L’hypothèse d’une lésion athéromateuse focale isolée induisant un thrombus, ou des pathologies inflammatoires diagnostiquées sur l’examen anatomopathologique du thrombus l’illustrent. POURQUOI UN ÉCHODOPPLER ? Introduction à l’aorte L’aorte, la plus grande artère du corps humain, joue un rôle crucial dans la circulation sanguine. Elle naît du ventricule gauche du cœur et constitue le principal conduit par lequel le sang oxygéné est distribué à l’ensemble du corps. L’anatomie de l’aorte est complexe et se divise en plusieurs segments : l’aorte ascendante, l’arc aortique, l’aorte thoracique descendante et l’aorte abdominale. Chaque segment est responsable de l’acheminement du sang vers différentes parties du corps, assurant ainsi un approvisionnement constant en oxygène et en nutriments essentiels. L’aorte ascendante commence au niveau du cœur et monte vers le haut, tandis que l’arc aortique courbe vers l’arrière et la gauche, donnant naissance à plusieurs grandes artères qui irriguent la tête, le cou et les membres supérieurs. L’aorte thoracique descendante poursuit son trajet à travers le thorax, alimentant les organes vitaux comme les poumons et les parois thoraciques. Enfin, l’aorte abdominale traverse le diaphragme et descend jusqu’au bas de l’abdomen, où elle se divise en artères iliaques, fournissant du sang aux organes abdominaux, pelviens ainsi qu’aux membres inférieurs. La fonction principale de l’aorte est de maintenir une circulation sanguine continue et efficace, essentielle pour le bon fonctionnement des organes et des tissus corporels. Grâce à ses parois épaisses et élastiques, l’aorte supporte la pression élevée générée par chaque contraction cardiaque, facilitant ainsi la propulsion du sang à travers le réseau artériel. La structure robuste de l’aorte permet non seulement de résister aux variations de pression sanguine, mais aussi de réguler le flux sanguin, garantissant une distribution homogène et adéquate du sang dans tout le corps. Trajet et divisions de l’aorte L’aorte, la plus grande artère du corps humain, joue un rôle crucial dans la circulation sanguine en transportant le sang oxygéné du cœur vers les différentes parties du corps. Elle commence son parcours depuis le ventricule gauche du cœur sous la forme de l’aorte ascendante. Cette section initiale de l’aorte s’élève pour atteindre la base du cou, où elle forme un arc connu sous le nom de crosse aortique. La crosse aortique est une structure clé car elle donne naissance à plusieurs artères importantes qui irriguent des régions vitales du corps. Parmi celles-ci, nous trouvons les artères carotides qui alimentent le cerveau, ainsi que les artères subclavières qui fournissent le sang aux bras. Ces ramifications sont essentielles pour assurer un apport constant et adéquat en oxygène et nutriments à ces parties critiques du corps. Après la crosse aortique, l’aorte poursuit son chemin en devenant l’aorte descendante, qui se divise en deux parties : l’aorte thoracique et l’aorte abdominale. L’aorte thoracique traverse la cavité thoracique, fournissant des branches qui irriguent la moelle épinière, les parois thoraciques et les structures pulmonaires. Lorsque l’aorte atteint le diaphragme, elle devient l’aorte abdominale. Cette partie de l’aorte est responsable de la distribution du sang aux organes abdominaux par l’intermédiaire de diverses branches artérielles. Parmi ces branches figurent les artères rénales, qui alimentent les reins, et les artères mésentériques, qui irriguent le tube digestif. La division terminale de l’aorte abdominale forme les artères iliaques communes, qui fournissent le sang aux membres inférieurs. L’intégrité structurelle et fonctionnelle de ces divisions de l’aorte est essentielle pour maintenir une circulation sanguine efficace dans tout le corps. Toute perturbation, telle que l’athérosclérose, peut entraîner des complications graves et nécessiter une attention médicale immédiate. L’athérosclérose : Définition et causes L’athérosclérose est une maladie chronique qui se manifeste par l’accumulation de dépôts lipidiques, appelés plaques d’athérome, sur les parois internes des artères. Ces dépôts sont principalement constitués de graisses, de cholestérol, de calcium et d’autres substances présentes dans le sang. Au fil du temps, l’accumulation de ces plaques entraîne un rétrécissement et un durcissement des artères, réduisant ainsi le flux sanguin vers les organes vitaux. Les causes de l’athérosclérose sont multiples et souvent interconnectées. Parmi les principales, on trouve une alimentation riche en graisses saturées et en cholestérol, qui favorise l’augmentation du taux de LDL (Low-Density Lipoprotein) dans le sang. Le LDL, communément appelé « mauvais cholestérol », est l’un des principaux contributeurs à la formation des plaques d’athérome. En revanche, un faible taux de HDL (High-Density Lipoprotein), ou « bon cholestérol », peut également augmenter le risque d’athérosclérose car le HDL aide à éliminer le cholestérol des artères. Le tabagisme est un autre facteur de risque majeur. Les substances chimiques présentes dans la fumée de cigarette endommagent les parois artérielles, facilitant ainsi l’accumulation des dépôts graisseux. De plus, le tabagisme réduit le taux de HDL et augmente la coagulation sanguine, exacerbant le risque de formation de plaques. L’hypertension artérielle, ou pression artérielle élevée, joue également un rôle crucial dans le développement de l’athérosclérose. Une pression excessive contre les parois artérielles peut provoquer des microdéchirures, où les dépôts de graisses peuvent ensuite s’accumuler. De même, le diabète, particulièrement le diabète de type 2, accroît le risque d’athérosclérose en augmentant les niveaux de glucose et de lipides dans le sang. Enfin, des facteurs non modifiables tels que l’âge, le sexe et les antécédents familiaux de maladies cardiovasculaires peuvent également prédisposer un individu à cette pathologie. À mesure que l’on vieillit, les artères ont tendance à devenir moins élastiques, augmentant ainsi le risque d’accumulation de plaques. Les hommes, en particulier, sont plus susceptibles de développer l’athérosclérose à un âge plus précoce que les femmes, bien que le risque pour les femmes augmente après la ménopause. Conséquences de l’athérosclérose L’athérosclérose est une condition grave caractérisée par l’accumulation de plaques d’athérome sur les parois internes des artères, y compris l’aorte, la plus grande artère du corps. Ces plaques peuvent rétrécir ou bloquer les artères, limitant ainsi le flux sanguin vers les organes vitaux. Une des conséquences les plus graves de l’athérosclérose est la rupture de ces plaques, ce qui peut entraîner des accidents vasculaires majeurs et potentiellement mortels. Lorsqu’une plaque d’athérome se rompt, elle peut provoquer la formation de caillots sanguins. Ces caillots peuvent obstruer complètement une artère, entraînant diverses complications selon la localisation de l’obstruction. Par exemple, si une artère coronarienne est bloquée, cela peut causer un infarctus du myocarde, communément appelé crise cardiaque. L’infarctus du myocarde se manifeste par une douleur thoracique intense, un essoufflement et peut mener à une insuffisance cardiaque ou à la mort si non traité rapidement. En outre, si les plaques d’athérome bloquent une artère cérébrale, cela peut entraîner un accident vasculaire cérébral (AVC). Les symptômes d’un AVC comprennent une faiblesse soudaine d’un côté du corps, des troubles de la parole, et une confusion mentale. Un AVC peut entraîner des dommages cérébraux permanents, des incapacités graves, voire la mort. Les soins médicaux d’urgence sont essentiels pour minimiser les dommages lors d’un AVC. L’athérosclérose peut également affecter les artères des membres inférieurs, conduisant à une condition connue sous le nom d’artérite des membres inférieurs. Cette affection se manifeste par des douleurs dans les jambes, particulièrement lors de la marche ou de l’exercice, et peut progresser vers une douleur au repos. Dans les cas graves, l’artérite des membres inférieurs peut provoquer des ulcères ou des gangrènes, nécessitant parfois une amputation. Il est donc crucial de comprendre les conséquences potentielles de l’athérosclérose pour prendre des mesures préventives et consulter un professionnel de la santé pour un diagnostic et un traitement appropriés. Une gestion efficace de cette condition peut aider à prévenir les complications graves et à améliorer la qualité de vie des personnes affectées. Thromboses aortiques : Causes et incidences Les thromboses aortiques représentent un problème grave de santé, souvent associé à des lésions athéromateuses. L’athérosclérose, caractérisée par l’accumulation de plaques de lipides, de cholestérol et d’autres substances dans les parois artérielles, est une cause majeure de ces thromboses. Les patients présentant des facteurs de risque cardiovasculaires tels que l’hypertension, le diabète, et l’hypercholestérolémie sont particulièrement vulnérables à ces lésions. Ces facteurs contribuent à endommager l’endothélium, la couche interne des artères, favorisant ainsi la formation de caillots sanguins. Les thromboses aortiques peuvent aussi survenir, bien que plus rarement, chez des individus sans athérosclérose préexistante. Dans ces cas, des facteurs comme les traumatismes, les infections ou les maladies inflammatoires peuvent jouer un rôle. Par exemple, une dissection aortique, où la paroi de l’aorte se déchire, peut entraîner une thrombose. De plus, certaines conditions génétiques et maladies auto-immunes peuvent aussi prédisposer à la formation de caillots dans une aorte par ailleurs saine. L’incidence des thromboses aortiques varie en fonction de la population étudiée et des facteurs de risque présents. Chez les personnes âgées et celles avec des antécédents de maladies cardiovasculaires, cette incidence est plus élevée. Clinically, les manifestations de la thrombose aortique peuvent être variées. La claudication, qui se traduit par des douleurs musculaires lors de la marche, est un symptôme courant. Les pieds froids, dus à une circulation sanguine réduite, sont aussi fréquents chez les patients atteints. Il est crucial de reconnaître ces signes cliniques pour un diagnostic précoce et une gestion efficace. Les thromboses aortiques non traitées peuvent entraîner des complications sévères, telles que les accidents vasculaires cérébraux et les infarctus du myocarde. Par conséquent, une vigilance accrue et une gestion rigoureuse des facteurs de risque cardiovasculaires sont essentielles pour prévenir ces conditions potentiellement mortelles. Diagnostic des thromboses aortiques Le diagnostic des thromboses aortiques présente une complexité notable, nécessitant une approche méthodique et l’utilisation de technologies d’imagerie avancées. Les thromboses aortiques, qui consistent en la formation de caillots sanguins dans l’aorte, peuvent entraîner des complications graves si elles ne sont pas identifiées et traitées rapidement. Les techniques diagnostiques les plus couramment employées incluent l’écho-doppler artériel et le scanner thoraco-abdominal injecté, chacune offrant des avantages uniques pour la détection des anomalies vasculaires. L’écho-doppler artériel est souvent la première étape dans l’évaluation des thromboses aortiques. Cette technique utilise des ultrasons pour visualiser le flux sanguin et détecter toute obstruction ou anomalie dans l’aorte. L’écho-doppler permet non seulement de confirmer la présence d’une thrombose mais aussi d’évaluer sa taille et son emplacement précis. Toutefois, cette méthode peut être limitée par la qualité de l’image obtenue, surtout chez les patients ayant une anatomie complexe ou de l’athérosclérose avancée. En complément, le scanner thoraco-abdominal injecté, également appelé angioscanner, est une technique d’imagerie par tomodensitométrie (CT) qui fournit des images détaillées de l’aorte et de ses branches. En injectant un produit de contraste intraveineux, l’angioscanner permet de visualiser avec précision les structures vasculaires et d’identifier les thromboses aortiques de manière plus fiable. Cette procédure est particulièrement utile pour évaluer l’étendue des thromboses et planifier une intervention chirurgicale si nécessaire. Cependant, l’exposition aux radiations et les réactions possibles au produit de contraste sont des facteurs à considérer. Le diagnostic des thromboses aortiques demeure un défi en raison des symptômes souvent non spécifiques et de la variabilité dans les présentations cliniques. Une collaboration interdisciplinaire entre cardiologues, radiologues et chirurgiens vasculaires est essentielle pour une évaluation précise et une prise en charge optimale des patients. Les avancées technologiques continues dans les techniques d’imagerie promettent d’améliorer davantage la détection et le traitement des thromboses aortiques à l’avenir. Traitement et prise en charge Une fois la thrombose aortique diagnostiquée, une prise en charge adéquate est cruciale pour prévenir les complications graves. Les options de traitement varient en fonction de la gravité de la condition et peuvent inclure des interventions médicales et chirurgicales. Le traitement médical repose principalement sur la gestion des facteurs de risque athéromateux, tels que l’hypertension, le diabète, l’hypercholestérolémie et le tabagisme. La prise en charge initiale inclut généralement des anticoagulants et des agents antiplaquettaires pour prévenir la formation de nouveaux caillots sanguins. Les statines sont souvent prescrites pour réduire les niveaux de cholestérol et ralentir la progression de l’athérosclérose. Les médecins peuvent également recommander des modifications du mode de vie, telles que l’adoption d’une alimentation saine, l’exercice régulier et la cessation du tabagisme. Dans les cas plus sévères, où l’obstruction de l’aorte est significative ou lorsque des complications telles qu’un anévrisme sont présentes, une intervention chirurgicale peut être nécessaire. Les options chirurgicales comprennent la thrombectomie, qui consiste à retirer le caillot sanguin, et la mise en place de stents pour maintenir l’artère ouverte. Dans certains cas, une chirurgie de pontage aortique peut être réalisée pour contourner les sections obstruées de l’artère. La surveillance continue est essentielle pour les patients ayant des antécédents de thrombose aortique. Un suivi régulier permet d’évaluer l’efficacité du traitement et de détecter toute récidive ou nouvelle complication. Les examens d’imagerie, tels que les échographies et les tomodensitogrammes, sont souvent utilisés pour surveiller l’état de l’aorte. En somme, la gestion des thromboses aortiques est un processus complexe qui nécessite une approche multidisciplinaire. La collaboration entre cardiologues, chirurgiens vasculaires et autres professionnels de la santé est essentielle pour assurer un traitement optimal et améliorer les perspectives à long terme des patients. Prévention de l’athérosclérose et des thromboses aortiques La prévention de l’athérosclérose et des thromboses aortiques est essentielle pour maintenir une bonne santé cardiovasculaire. Cette prévention repose sur une gestion rigoureuse des facteurs de risque cardiovasculaires et sur l’adoption d’un mode de vie sain. Parmi les principaux facteurs de risque à surveiller, on trouve l’hypertension artérielle, le diabète, l’hypercholestérolémie, et le tabagisme. La gestion de ces facteurs est cruciale pour éviter l’accumulation de plaques d’athérome dans l’aorte et les complications qui en résultent. Un mode de vie sain est une pierre angulaire de la prévention de l’athérosclérose. Adopter une alimentation équilibrée, riche en fruits, légumes, fibres et acides gras oméga-3, contribue à maintenir des artères en bonne santé. La réduction de la consommation de graisses saturées et de sucres est également recommandée pour éviter le surpoids et l’obésité, qui sont des facteurs de risque majeurs. L’activité physique régulière, telle que la marche, la natation ou le vélo, aide non seulement à contrôler le poids, mais aussi à améliorer la circulation sanguine et à renforcer le muscle cardiaque. En plus des changements de mode de vie, certains médicaments peuvent être nécessaires pour prévenir l’athérosclérose. Les statines, par exemple, sont fréquemment prescrites pour réduire le taux de cholestérol. Les antihypertenseurs et les antidiabétiques sont utilisés pour gérer l’hypertension et le diabète respectivement. Dans certains cas, les médecins peuvent recommander des anticoagulants pour prévenir la formation de caillots sanguins dans l’aorte, réduisant ainsi le risque de thrombose aortique. L’importance des contrôles médicaux réguliers ne peut être sous-estimée. Des examens de routine permettent de surveiller les niveaux de cholestérol, la pression artérielle, et le taux de glycémie. Ces contrôles aident à détecter précocement tout signe de trouble cardiovasculaire et à ajuster les traitements en conséquence. Les consultations régulières avec un cardiologue ou un médecin généraliste sont donc essentielles pour une gestion proactive de la santé cardiovasculaire. L'Angiologue prend en charge le diagnostic et le traitement de l’ensemble des pathologies des vaisseaux sanguins (artères, veines, lymphatiques) .L'anévrisme aortique est une maladie de l'aorte consistant en une dilatation de cette dernière. Elle peut concerner n'importe quel segment de ce vaisseau. La forme la plus fréquente est l'anévrisme de l'aorte abdominale en dessous des artères rénalesL'anévrisme aortique est une maladie de l'aorte consistant en une dilatation de cette dernière. Elle peut concerner n'importe quel segment de ce vaisseau. La forme la plus fréquente est l'anévrisme de l'aorte abdominale en dessous des artères rénales ARTICLES Bookmark AnatomieAppareil circulatoire pathologieArtère pathologieAthéroscléroseblogsCentre d’apprentissageChirurgieComplicationechodopplerImagerie médicaleL'artère fémoraleTechniqueVaisseau sanguin pathologieVoie endovasculaireVoie percutanée L’athérectomie orbitale : un nouvel outil disponible ,la fin de l\’endarteriectomie ilio-fémorale? by jamel MOUHLI 14 décembre 2025 0 comments 38 views 13 minutes read Post Views: 10 by jamel MOUHLI 14 décembre 2025 Bookmark Voie endovasculaire AORTIC VALVE REPAIR SUMMIT by mouhli 24 octobre 2025 0 comments 522 views 5 minutes read Heading Title L’étude a montré que les personnes atteintes de sténose aortique qui ont subi une intervention chirurgicale pour remplacer une valve rétrécie n’ont qu’une … by mouhli 24 octobre 2025 Bookmark Appareil circulatoire pathologieArtère pathologieAthéroscléroseblogsCentre d’apprentissageI.U.EImagerie médicaleScanner angioScanner Le coroscanner, également connu sous le nom de tomodensitométrie coronarienne, représente une avancée majeure dans le domaine de l’imagerie médicale. by jamel MOUHLI 19 octobre 2025 0 comments 68 views 28 minutes read Introduction au coroscanner Le coroscanner, également connu sous le nom de tomodensitométrie coronarienne, représente une avancée majeure dans le domaine de l’imagerie médicale. Cette technique … by jamel MOUHLI 19 octobre 2025 Bookmark Appareil circulatoire pathologieArtère pathologieAthéroscléroseCentre d’apprentissageComplicationIRM-angioIRMUncategorized Les anévrismes by jamel MOUHLI 15 octobre 2024 0 comments 324 views 11 minutes read Qu’est-ce qu’un anévrisme ? C’est une dilatation anormale d’une artère due à une faiblesse de la paroi du vaisseau sanguin. Cette faiblesse peut entraîner la … by jamel MOUHLI 15 octobre 2024 Bookmark Appareil circulatoire pathologieArtère pathologieAthéroscléroseCentre d’apprentissageChirurgieechodopplerTraitementVaisseau sanguin pathologie L’aorte : La plus grande artère du corps et les dangers de l’athérosclérose by jamel MOUHLI 11 juillet 2024 0 comments 496 views 22 minutes read L’aorte est la plus grosse artère du corps. Partant du cœur, elle achemine le sang vers les jambes en passant par le thorax et l’abdomen. … by jamel MOUHLI 11 juillet 2024 Bookmark Centre d’apprentissage L’ischémie mésentérique by jamel MOUHLI 31 janvier 2024 0 comments 838 views 19 minutes read Importance du bilan vasculaire avant chirurgie hépato-pancréatique Click Here CENTRE APPRENTISSAGE Bookmark Diabete by jamesv10 18 juin 2010 0 comment 8 views {mp4-flv}diabete{/mp4-flv} Association entre … by jamel MOUHLI 31 janvier 2024 Bookmark Appareil circulatoire pathologie la colchicine, le premier médicament anti-inflammatoire pour le traitement des maladies cardiovasculaires by mouhli 17 juillet 2023 0 comments 908 views 9 minutes read La FDA approuve la colchicine, le premier médicament anti-inflammatoire pour … by mouhli 17 juillet 2023 Bookmark Rétrospective Interventions physiques pour interrompre ou réduire la propagation des virus respiratoires by mouhli 23 février 2023 0 comments 614 views 10 minutes read Interventions physiques pour interrompre ou réduire la propagation des virus respiratoires Thomas Jefferson Liz Doley Eliana Ferroni Lubna A Al-Ansary Mieke L van Driel Ghada … by mouhli 23 février 2023 Bookmark Résultat Association de la vaccination par ARNm avec les caractéristiques cliniques et virologiques du COVID- by mouhli 28 octobre 2022 0 comments 1,1K views 9 minutes read Une nouvelle étude publiée sur le Journal of the American Medical Association @JAMANetwork confirme que les personnes non vaccinées ont MOINS de … by mouhli 28 octobre 2022 Bookmark Appareil circulatoire pathologieArtère pathologieAthéroscléroseblogscas cliniquesCentre d’apprentissageChirurgieComplicationechodopplerFeaturedImagerie médicale et droit de la santéNon classéPonctionTechniqueTraitementVaisseau sanguin pathologieVaricesVoie endovasculaireVoie percutanée Les médecins vasculaires (angiologues), les chirurgiens vasculaires et cardiovasculaires, les neurologues, les radiologues interventionnels, les cardiologues interventionnels, les néphrologues, les endocrinologues, les hématologues prennent en charge le diagnostic et le traitement de l’ensemble des pathologies des vaisseaux sanguins (artères, veines, lymphatiques). Les patients sont orientés par leurs médecins généralistes. by mouhli 3 octobre 2022 0 comments 781 views 24 minutes read IUE vise à soutenir l’apprentissage tout au long de la vie des professionnels du secteur cardiovasculaire et endovasculaire. En fournissant une plate-forme de contenu évalué … by mouhli 3 octobre 2022 Bookmark Complication Editorials Thromboembolism and bleeding after covid-19 by mouhli 10 avril 2022 0 comments 481 views 7 minutes read la thrombose veineuse profonde, l’embolie pulmonaire et l’hémorragie L’infection est-elle plus à risque que la vaccination ? Ces risques de thrombose sont également connus … by mouhli 10 avril 2022 Bookmark I.U.E Elon Musk and brother under investigation for alleged insider trading by jamel MOUHLI 24 février 2022 0 comments 637 views 0 minutes read Light pollution is a modern scourge but a concerted effort to bring the darkness to Wales is under way – with the help of astronomy … by jamel MOUHLI 24 février 2022 Bookmark I.U.E Western powers have realised Russia is largely immune to sanctions by jamel MOUHLI 24 février 2022 0 comments 564 views 0 minutes read Light pollution is a modern scourge but a concerted effort to bring the darkness to Wales is under way – with the help of astronomy … by jamel MOUHLI 24 février 2022 Bookmark I.U.E UN resolution deploring invasion vetoed – as it happened right now by jamel MOUHLI 24 février 2022 0 comments 523 views 0 minutes read Light pollution is a modern scourge but a concerted effort to bring the darkness to Wales is under way – with the help of astronomy … by jamel MOUHLI 24 février 2022 Bookmark I.U.E Lockdown lifestyles: how has Covid changed lives around the world by jamel MOUHLI 24 février 2022 0 comments 521 views 0 minutes read Light pollution is a modern scourge but a concerted effort to bring the darkness to Wales is under way – with the help of astronomy … by jamel MOUHLI 24 février 2022 Bookmark Appareil circulatoire pathologieArtère pathologieblogsCentre d’apprentissageChirurgieEchographie et EchodopplerIRM-angioIRMScanner angioScannerVoie endovasculaire SYNDROME DE COCKETT OU SYNDROME DE MAY-THURNER by jamel MOUHLI 24 février 2022 0 comments 503 views 10 minutes read Le syndrome de Cockett est causé par une variation anatomique qui entraîne une compression de la veine iliaque gauche par l’artère iliaque droite au-dessus de … by jamel MOUHLI 24 février 2022 Bookmark I.U.E South Korea PM urges calm after Covid cases soar by 70,000 in a day by jamel MOUHLI 24 février 2022 0 comments 397 views 0 minutes read Light pollution is a modern scourge but a concerted effort to bring the darkness to Wales is under way – with the help of astronomy … by jamel MOUHLI 24 février 2022 Bookmark I.U.E Thailand tries to contain ‘disaster’ oil spill from undersea pipeline by jamel MOUHLI 24 février 2022 0 comments 506 views 0 minutes read Light pollution is a modern scourge but a concerted effort to bring the darkness to Wales is under way – with the help of astronomy … by jamel MOUHLI 24 février 2022 Bookmark FeaturedI.U.E ‘Putin chose this war,’ Biden says as he announces new sanctions by jamel MOUHLI 24 février 2022 0 comments 797 views 0 minutes read Light pollution is a modern scourge but a concerted effort to bring the darkness to Wales is under way – with the help of astronomy … by jamel MOUHLI 24 février 2022 Bookmark Complication Les survivants de COVID-19 sévère signalent de nombreux symptômes à long terme by mouhli 7 février 2022 0 comments 382 views 4 minutes read Les symptômes physiques, mentaux et cognitifs sont fréquents chez les survivants de Covid-19 un an après la sortie de l’unité de soins intensifs (USI), … by mouhli 7 février 2022 View All Post Views: 302 Share 0 FacebookTwitterPinterestEmail jamel MOUHLI Following Author previous post L’ischémie mésentérique next post Les anévrismes You may also like Bookmark L’athérectomie orbitale : un nouvel outil disponible ,la... 14 décembre 2025 Bookmark Le coroscanner, également connu sous le nom de... 19 octobre 2025 Bookmark Les anévrismes 15 octobre 2024 Bookmark L’ischémie mésentérique 31 janvier 2024 Bookmark la colchicine, le premier médicament anti-inflammatoire pour le... 17 juillet 2023 Bookmark Les médecins vasculaires (angiologues), les chirurgiens vasculaires et... 3 octobre 2022
Bookmark AnatomieAppareil circulatoire pathologieArtère pathologieAthéroscléroseblogsCentre d’apprentissageChirurgieComplicationechodopplerImagerie médicaleL'artère fémoraleTechniqueVaisseau sanguin pathologieVoie endovasculaireVoie percutanée L’athérectomie orbitale : un nouvel outil disponible ,la fin de l\’endarteriectomie ilio-fémorale? by jamel MOUHLI 14 décembre 2025 0 comments 38 views 13 minutes read Post Views: 10 by jamel MOUHLI 14 décembre 2025
Bookmark Voie endovasculaire AORTIC VALVE REPAIR SUMMIT by mouhli 24 octobre 2025 0 comments 522 views 5 minutes read Heading Title L’étude a montré que les personnes atteintes de sténose aortique qui ont subi une intervention chirurgicale pour remplacer une valve rétrécie n’ont qu’une … by mouhli 24 octobre 2025
Bookmark Appareil circulatoire pathologieArtère pathologieAthéroscléroseblogsCentre d’apprentissageI.U.EImagerie médicaleScanner angioScanner Le coroscanner, également connu sous le nom de tomodensitométrie coronarienne, représente une avancée majeure dans le domaine de l’imagerie médicale. by jamel MOUHLI 19 octobre 2025 0 comments 68 views 28 minutes read Introduction au coroscanner Le coroscanner, également connu sous le nom de tomodensitométrie coronarienne, représente une avancée majeure dans le domaine de l’imagerie médicale. Cette technique … by jamel MOUHLI 19 octobre 2025
Bookmark Appareil circulatoire pathologieArtère pathologieAthéroscléroseCentre d’apprentissageComplicationIRM-angioIRMUncategorized Les anévrismes by jamel MOUHLI 15 octobre 2024 0 comments 324 views 11 minutes read Qu’est-ce qu’un anévrisme ? C’est une dilatation anormale d’une artère due à une faiblesse de la paroi du vaisseau sanguin. Cette faiblesse peut entraîner la … by jamel MOUHLI 15 octobre 2024
Bookmark Appareil circulatoire pathologieArtère pathologieAthéroscléroseCentre d’apprentissageChirurgieechodopplerTraitementVaisseau sanguin pathologie L’aorte : La plus grande artère du corps et les dangers de l’athérosclérose by jamel MOUHLI 11 juillet 2024 0 comments 496 views 22 minutes read L’aorte est la plus grosse artère du corps. Partant du cœur, elle achemine le sang vers les jambes en passant par le thorax et l’abdomen. … by jamel MOUHLI 11 juillet 2024
Bookmark Centre d’apprentissage L’ischémie mésentérique by jamel MOUHLI 31 janvier 2024 0 comments 838 views 19 minutes read Importance du bilan vasculaire avant chirurgie hépato-pancréatique Click Here CENTRE APPRENTISSAGE Bookmark Diabete by jamesv10 18 juin 2010 0 comment 8 views {mp4-flv}diabete{/mp4-flv} Association entre … by jamel MOUHLI 31 janvier 2024
Bookmark Appareil circulatoire pathologie la colchicine, le premier médicament anti-inflammatoire pour le traitement des maladies cardiovasculaires by mouhli 17 juillet 2023 0 comments 908 views 9 minutes read La FDA approuve la colchicine, le premier médicament anti-inflammatoire pour … by mouhli 17 juillet 2023
Bookmark Rétrospective Interventions physiques pour interrompre ou réduire la propagation des virus respiratoires by mouhli 23 février 2023 0 comments 614 views 10 minutes read Interventions physiques pour interrompre ou réduire la propagation des virus respiratoires Thomas Jefferson Liz Doley Eliana Ferroni Lubna A Al-Ansary Mieke L van Driel Ghada … by mouhli 23 février 2023
Bookmark Résultat Association de la vaccination par ARNm avec les caractéristiques cliniques et virologiques du COVID- by mouhli 28 octobre 2022 0 comments 1,1K views 9 minutes read Une nouvelle étude publiée sur le Journal of the American Medical Association @JAMANetwork confirme que les personnes non vaccinées ont MOINS de … by mouhli 28 octobre 2022
Bookmark Appareil circulatoire pathologieArtère pathologieAthéroscléroseblogscas cliniquesCentre d’apprentissageChirurgieComplicationechodopplerFeaturedImagerie médicale et droit de la santéNon classéPonctionTechniqueTraitementVaisseau sanguin pathologieVaricesVoie endovasculaireVoie percutanée Les médecins vasculaires (angiologues), les chirurgiens vasculaires et cardiovasculaires, les neurologues, les radiologues interventionnels, les cardiologues interventionnels, les néphrologues, les endocrinologues, les hématologues prennent en charge le diagnostic et le traitement de l’ensemble des pathologies des vaisseaux sanguins (artères, veines, lymphatiques). Les patients sont orientés par leurs médecins généralistes. by mouhli 3 octobre 2022 0 comments 781 views 24 minutes read IUE vise à soutenir l’apprentissage tout au long de la vie des professionnels du secteur cardiovasculaire et endovasculaire. En fournissant une plate-forme de contenu évalué … by mouhli 3 octobre 2022
Bookmark Complication Editorials Thromboembolism and bleeding after covid-19 by mouhli 10 avril 2022 0 comments 481 views 7 minutes read la thrombose veineuse profonde, l’embolie pulmonaire et l’hémorragie L’infection est-elle plus à risque que la vaccination ? Ces risques de thrombose sont également connus … by mouhli 10 avril 2022
Bookmark I.U.E Elon Musk and brother under investigation for alleged insider trading by jamel MOUHLI 24 février 2022 0 comments 637 views 0 minutes read Light pollution is a modern scourge but a concerted effort to bring the darkness to Wales is under way – with the help of astronomy … by jamel MOUHLI 24 février 2022
Bookmark I.U.E Western powers have realised Russia is largely immune to sanctions by jamel MOUHLI 24 février 2022 0 comments 564 views 0 minutes read Light pollution is a modern scourge but a concerted effort to bring the darkness to Wales is under way – with the help of astronomy … by jamel MOUHLI 24 février 2022
Bookmark I.U.E UN resolution deploring invasion vetoed – as it happened right now by jamel MOUHLI 24 février 2022 0 comments 523 views 0 minutes read Light pollution is a modern scourge but a concerted effort to bring the darkness to Wales is under way – with the help of astronomy … by jamel MOUHLI 24 février 2022
Bookmark I.U.E Lockdown lifestyles: how has Covid changed lives around the world by jamel MOUHLI 24 février 2022 0 comments 521 views 0 minutes read Light pollution is a modern scourge but a concerted effort to bring the darkness to Wales is under way – with the help of astronomy … by jamel MOUHLI 24 février 2022
Bookmark Appareil circulatoire pathologieArtère pathologieblogsCentre d’apprentissageChirurgieEchographie et EchodopplerIRM-angioIRMScanner angioScannerVoie endovasculaire SYNDROME DE COCKETT OU SYNDROME DE MAY-THURNER by jamel MOUHLI 24 février 2022 0 comments 503 views 10 minutes read Le syndrome de Cockett est causé par une variation anatomique qui entraîne une compression de la veine iliaque gauche par l’artère iliaque droite au-dessus de … by jamel MOUHLI 24 février 2022
Bookmark I.U.E South Korea PM urges calm after Covid cases soar by 70,000 in a day by jamel MOUHLI 24 février 2022 0 comments 397 views 0 minutes read Light pollution is a modern scourge but a concerted effort to bring the darkness to Wales is under way – with the help of astronomy … by jamel MOUHLI 24 février 2022
Bookmark I.U.E Thailand tries to contain ‘disaster’ oil spill from undersea pipeline by jamel MOUHLI 24 février 2022 0 comments 506 views 0 minutes read Light pollution is a modern scourge but a concerted effort to bring the darkness to Wales is under way – with the help of astronomy … by jamel MOUHLI 24 février 2022
Bookmark FeaturedI.U.E ‘Putin chose this war,’ Biden says as he announces new sanctions by jamel MOUHLI 24 février 2022 0 comments 797 views 0 minutes read Light pollution is a modern scourge but a concerted effort to bring the darkness to Wales is under way – with the help of astronomy … by jamel MOUHLI 24 février 2022
Bookmark Complication Les survivants de COVID-19 sévère signalent de nombreux symptômes à long terme by mouhli 7 février 2022 0 comments 382 views 4 minutes read Les symptômes physiques, mentaux et cognitifs sont fréquents chez les survivants de Covid-19 un an après la sortie de l’unité de soins intensifs (USI), … by mouhli 7 février 2022