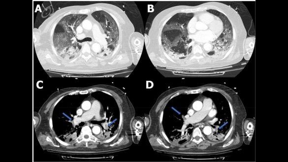
Technique systématiser l’angioscanner désormais dans tous les COVID-19 by jamel MOUHLI 29 avril 2020 written by jamel MOUHLI 29 avril 2020 0 comments 2 minutes read Bookmark 502 Maladie thromboembolique pulmonaire, cérébrale et rénale associée à une infection par COVID-19 systématiser l’angioscanner désormais dans tous les hôpitaux de France et pas seulement : « d’abord, parce qu’on sait traiter l’embolie pulmonaire à base d’anticoagulants. Et parce qu’ensuite, pour les patients Covid, ça veut dire qu’il ne restera plus que la problématique ventilatoire que les réanimateurs savent prendre en charge de façon efficace ». il faut demander un Angio scanner à base dose Les scientifiques chinois disent que le nouveau coronavirus ne sera pas éradiqué, ajoutant à un consensus croissant dans le monde entier que le pathogène reviendra probablement dans des vagues comme la grippe. Il est peu probable que le nouveau virus disparaisse comme son cousin proche SRAS l’a fait il y a 17 ans , car il infecte certaines personnes sans provoquer de symptômes évidents comme de la fièvre. Ce groupe de soi-disant porteurs asymptomatiques rend difficile la maîtrise totale de la transmission car ils peuvent propager le virus sans être détectés, a déclaré lundi à Pékin un groupe de chercheurs chinois dans le domaine de la virologie et de la médecine. une épidémie qui coexiste avec les humains depuis longtemps, devient saisonnière et se maintient dans le corps humain », a déclaré Jin Qi, directeur de l’Institut de biologie des agents pathogènes du principal institut de recherche médicale, l’Académie chinoise des sciences médicales.» on commence à comprendre cette maladie ,avec plusieurs phases, et plusieurs stades il faut traiter les patients le début , et la confrontation avec les problèmes de coagulation, des phlébites ,et même des embolies pulmonaires, La découverte de l’équipe du Professeur Eric Delabrousse au CHU de Besançon va vraisemblablement permettre de sauver davantage de vies parmi les patients Covid-19 gravement touchés au plan respiratoire. Grâce à un angioscanner pulmonaire qui révèle les embolies pulmonaires non détectées jusqu’alors. L’étude « made in CHU de Besançon » vient d’être publiée ce jeudi par la revue scientifique américaine Radiology, mondialement reconnue dans le domaine médical. Elle a été menée durant trois semaines (16 mars au 4 avril 2020) par une équipe composée des Professeurs Éric Delabrousse (chef du Pôle Imagerie), Sébastien Aubry (chef du service Radiologie) et des Docteurs Julien Behr (radiologue spécialiste du poumon), Paul Calame (praticien hospitalier), Franck Grillet (chef de clinique). Published today in @radiology_rsna: Acute Pulmonary Embolism Associated with COVID-19 Pneumonia Detected by Pulmonary CT Angiography. https://t.co/J5JGKhQiRc #COVID19 #ChestRad pic.twitter.com/D4FfynIfAV — Radiology (@radiology_rsna) April 24, 2020 COVID 19h homme 57ans thrombophlébite poplité COVID 19h homme 57ans thrombophlébite poplité https://pubs.rsna.org/doi/10.1148/radiol.2020201623 Post Views: 216 Share 0 FacebookTwitterPinterestEmail jamel MOUHLI Following Author previous post Une attention particulière doit être portée à la prophylaxie de la thromboembolie veineuse dans la p next post Donner des anticoagulants aux patients Covid-19 gravement malades gagne du terrain You may also like Bookmark L’athérectomie orbitale : un nouvel outil disponible ,la... 14 décembre 2025 Bookmark Les médecins vasculaires (angiologues), les chirurgiens vasculaires et... 3 octobre 2022 Bookmark Review of Endovenous Thermal Ablation of the Great... 20 novembre 2020 Intubation trachéale pendant la pandémie de COVID-19 9 juin 2020 Bookmark Une étude établit un lien entre embolie pulmonaire... 27 mai 2020 Bookmark The Global Embolization Symposium and Technologies (GEST) 27 novembre 2015